this is my gross foot before i had surgery on it. if you see the bump sticking out on the side of my foot...well that is my bone, and it isnt supposed to look like that. the bones in my foot grew crooked and so what they did in the surgery was open up my foot, take a chunck of my bone out, move my bones to where they are supposed to be, screwed my bones together and sewed me back up.




this is the lovely boot that i got to wear for two weeks while the stitches were healing after my surgery.

it wasn't wasnt to long till i was back in the ER that night. the pain was...well lets just say that it felt like someone had taken a knife, stabbed it in my foot and dragged it down...oh wait, that IS what happened. they gave me a shot in my bum and changed the drugs that i had. you can see from my red and puffy eyes that i was crying, and i don't normally cry. once i was feeling better we went home and i was able to sleep. one of the nice things about my drugs was that they made me tired, so that helped me to sleep at night and take away the pain. the down side to the drugs was that they made me tired, weak, gave me a head ache, had no apatite, wasn't able to remember things, and made me twitchy. But other then that...they suited me fine. Oh, and notice my nice socks i have on. Trendy.
Finally, after a lot of hurting and movies(60) and being extremely bored, two weeks later the day finally came where i got tosee what my foot looked like, get my stitches out, and get a cast.
WARNING: some pictures below may be a little graphic for some.
This is the back of my heal. i am not really sure how it got this way, but it was sore in the boot and now i can see why. there were a bunch of sore red lines going across too. (the picture is sideways)
These are my fat sausage toes.
After the Stitches were removed.
This is a picture of me getting my xrays of my foot. its also a picture of me right before i passed out. i told the nurse guy who was taking the xrays that i was getting dizzy. and so i leaned against the wall and then things started to get blurry. and that is all i remember. but my mom says that they nurse was right there and caught me and told me and he told me to put my arm around his neck (i was out by then and didn't hear any of that). the doc pulled open the wheel chair and the nurse set me in it. my mom says that i started to slide out of the chair. i was out for about two min. and then when i started to wake up it was just like what you see in the movies. there were a bunch of heads above me and i didn't know where i was or what happened. i was so hot and clammy and i had a head ache. they put a wet rag on my head and some water. it took a while, but i started to feel better after a bit.
Here is me after i passed out. my mom said i looked really pale. they had to redo the xrays cause i put weight on my foot when i passed out. but everything was fine. it made for an even more exciting visit.
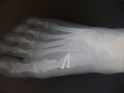
Here is the xray of my foot. as you can see the wonderful pins that will be in my foot for the rest of my life and will make me beep when i go through the air port. but my bones look straight. isn't it wonderful!
And Finally, my beautiful pink cast!